企业客服QQ
企业客服QQ
关注我们微信
 
 
0376--8886120
   

医院动态

Hospital dynamic

  您的当前的位置:
有高档的设备,才有精准的诊断
来源: | 作者:pmo2c4ac4 | 发布时间: 2019-09-11 | 1352 次浏览 | 🔊 点击朗读正文 ❚❚ | 分享到:
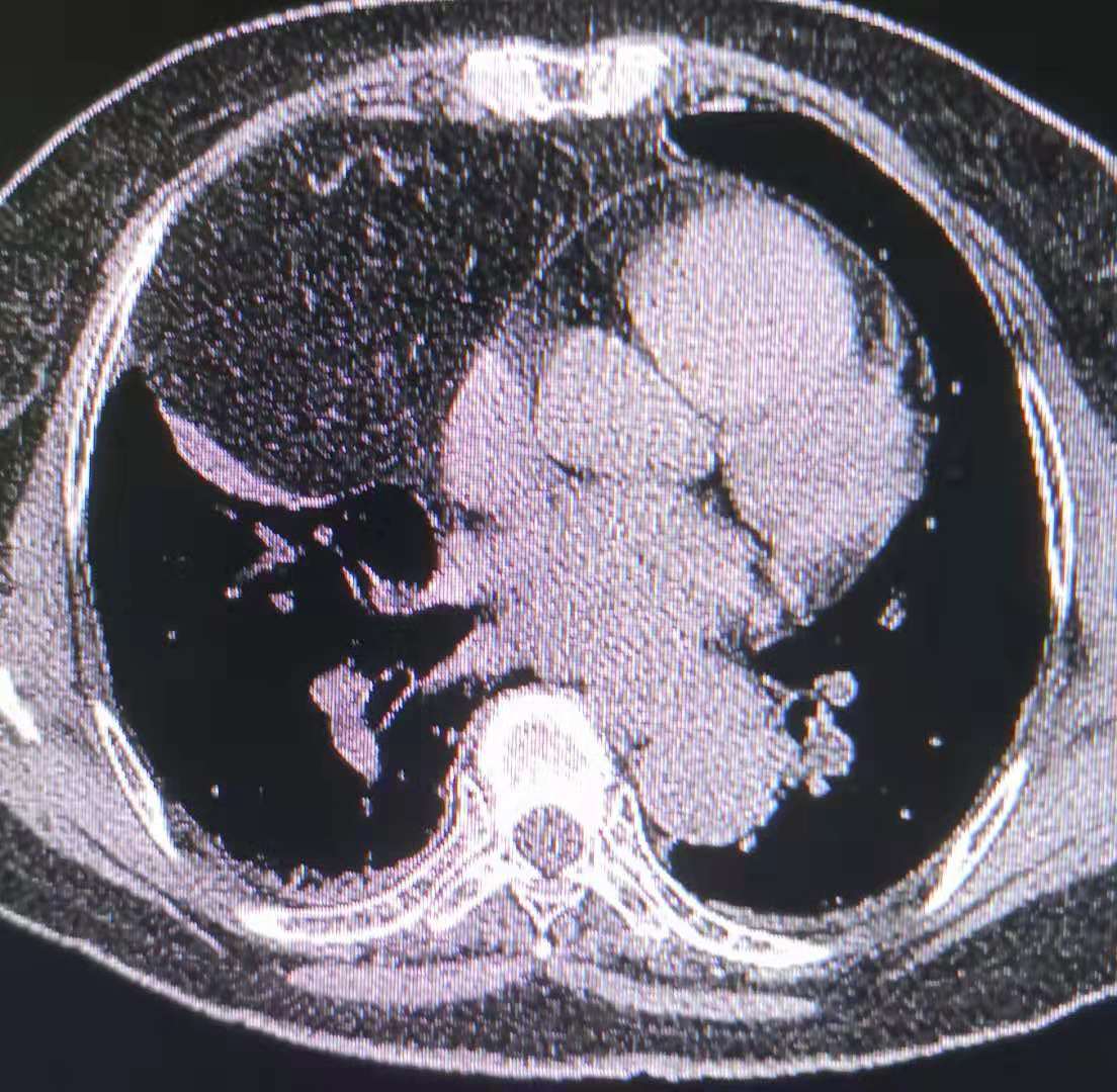
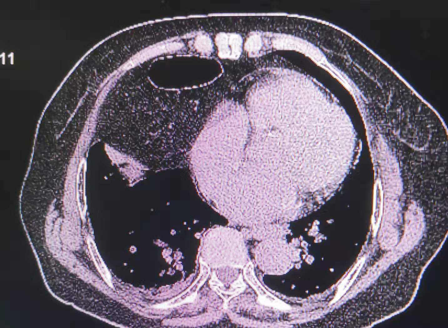
今天医院收到一位腰椎骨折的患者,还伴随有长期腰痛胸痛和消化不良,外院诊断为腰椎单纯骨折并胸部巨大脂肪瘤。在我院高档CT、磁共振的检查下,却是另外一种发现。


我们的设备,清楚地显示出外院照片没有发现的细节。


单纯腰椎骨折的背后,还发现了一个被压碎的血管瘤。而且其余椎体还有几个小的血管瘤。这就不是单纯骨折,而是病理性骨折。符合患者在轻微运动下就发生骨折的事实。



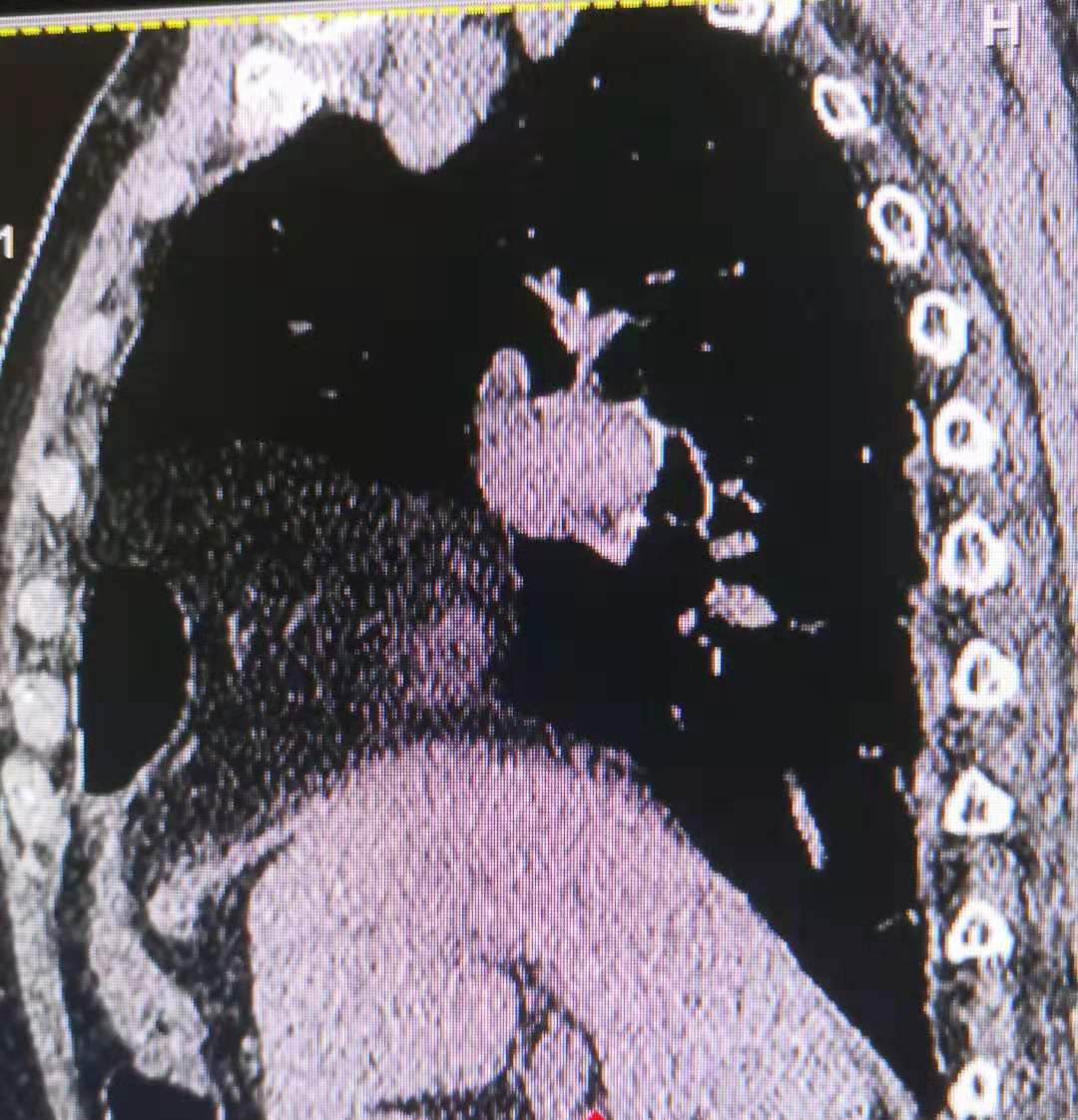
针对胸部的脂肪瘤,我院设备强大 的再重建功能显示,患者的膈肌上的巨大肿块影中有奇怪的积气现象。
往下追查,看到肿块来源于腹部,其中奇怪的气体影,是腹部的肠管。

最后的结论是腹部肠管及肠系膜疝入胸腔,患者长期的消化不良的现象得到了解释。
通过正确的治疗,患者有望彻底解决腰痛和长期胸痛及消化不良的痛苦。